咏春成人入门视频,跟随视频轻松掌握实战技巧

咏春成人入门视频,跟随视频轻松掌握实战技巧

9℃ 0
想不想学会咏春,感受一下中国武术的魅力?别急,今天我就要给你安利一些超棒的咏春成人入门视频,让你在家就能轻松上手,成为咏春高手!一、咏春概述:古老武术的现代魅力咏春,又称咏春拳,是中国传统武术中的一种,起源于广东省佛山市。它以快、准、狠著称,讲究“近身搏击,以快制胜”。近年来,随着武术文化的普及,咏春逐渐成为许多武术爱好者的首选。二、入门必备:咏春基础动作解析1. 马步:咏春的基本步法,要求身体重心下沉,膝盖微曲,脚跟与脚尖呈45度角。2. 冲拳:咏春的基本拳法,要求出拳迅速有力,拳心朝下。3. 勾拳:咏春的另一种拳法,要求出拳时手腕内旋,拳心朝上。4....
长发发型成人扎法视频,轻松打造时尚造型

长发发型成人扎法视频,轻松打造时尚造型

16℃ 0
长发飘飘的你是不是也想换个发型,让自己焕然一新呢?别急,今天就来给你安利几个超实用的长发发型扎法,跟着视频学起来,保证让你轻松变美!一、优雅马尾辫马尾辫可是长发女生的经典选择,不仅方便实用,还能展现出青春活力。下面这个视频教你如何打造一个优雅的马尾辫:1. 将头发梳理整齐,分成左右两部分。2. 将左侧头发扎成一个低马尾,用发圈固定。3. 将右侧头发也扎成一个低马尾,与左侧马尾并拢。4. 用手指轻轻拉扯马尾,使其看起来更加蓬松。5. 用发圈将两个马尾固定在一起,调整位置,使其看起来更加协调。二、浪漫花苞辫花苞辫给人一种浪漫的感觉,非常适合文艺范儿的小仙女。...
成人腿部按摩手法视频,跟随视频轻松学会专业手法

成人腿部按摩手法视频,跟随视频轻松学会专业手法

16℃ 0
你有没有想过,有时候腿部酸痛得像是被大象踩过一样?别急,今天就来给你揭秘成人腿部按摩手法视频的奥秘,让你轻松缓解疲劳,享受舒适时光!一、腿部按摩的重要性你知道吗,腿部按摩不仅能缓解肌肉酸痛,还能促进血液循环,改善睡眠质量。而且,现在市面上有很多专业的腿部按摩手法视频,让你在家就能享受到专业的按摩服务。二、腿部按摩手法视频推荐1. 基础拉伸法首先,让我们来学习一下基础拉伸法。这个方法简单易学,适合初学者。视频中的教练会一步步教你如何拉伸腿部肌肉,从脚踝到膝盖,再到大腿,全方位放松腿部。2. 深层按摩法接下来,是深层按摩法。这种方法适合长时间站立或久坐的人群...
碰碰视频电影成人,探寻成人生涯的精彩瞬间

碰碰视频电影成人,探寻成人生涯的精彩瞬间

15℃ 0
你有没有发现,最近网上那些碰碰视频电影,简直让人欲罢不能!没错,就是那种让你心跳加速、肾上腺素飙升的电影。今天,就让我带你一起深入探索这个神秘的世界,看看这些成人电影到底有什么魅力,为什么能让那么多人沉迷其中。一、碰碰视频电影的独特魅力首先,让我们来聊聊碰碰视频电影的特点。这类电影不同于一般的爱情片、动作片,它们更注重情感的表达和内心的挖掘。在碰碰视频电影中,你可以看到各种不同的人生百态,感受到人性的复杂和情感的真挚。1. 情感真挚:碰碰视频电影中的角色往往有着丰富的内心世界,他们的情感表达真挚动人,让人感同身受。2. 画面唯美:这类电影的画面往往非常唯...
成人毛衣袖洞收针视频,视频教程详解

成人毛衣袖洞收针视频,视频教程详解

17℃ 0
最近天气转凉,是不是你也和我一样,迫不及待地想要织一件温暖又时尚的毛衣呢?不过,说到毛衣,最让人头疼的可能就是袖洞的收针了。别急,今天我就要给你带来一份超级详细的成人毛衣袖洞收针视频教程,让你轻松掌握这个技巧,织出完美毛衣!一、收针前的准备在开始收针之前,先来了解一下收针的基本概念。收针,顾名思义,就是将多余的线头收起来,让袖洞变得合适。这个过程看似简单,但如果不注意细节,很容易出现袖洞过大或过小的尴尬情况。1. 选择合适的针具:收针时,建议使用比织毛衣时小一号的针具,这样可以保证袖洞的紧致度。2. 准备线头:在收针前,确保线头足够长,以便后续的固定和装...
成人发烧呕吐视频讲解

成人发烧呕吐视频讲解

26℃ 0
最近在网上看到一个特别火的视频,讲的是成人发烧呕吐的那些事儿。你是不是也好奇,发烧呕吐到底是个啥情况?别急,今天就来给你详细说说这个话题,让你对成人发烧呕吐有个全面的认识。发烧呕吐,你了解多少?首先,得先弄清楚什么是发烧呕吐。简单来说,发烧呕吐就是人在发烧的时候,身体为了排除病毒或细菌,会通过呕吐来达到这个目的。这可不是什么好受的体验,但却是身体的一种自我保护机制。发烧呕吐的原因那么,成人为什么会发烧呕吐呢?原因有很多,以下是一些常见的原因:1. 感染性疾病:如流感、肠胃炎、食物中毒等,这些疾病往往会导致人体发烧,进而引发呕吐。2. 药物副作用:某些药物...
成人背诗词视频教程,成人诗词背诵视频教程精粹

成人背诗词视频教程,成人诗词背诵视频教程精粹

24℃ 0
你有没有想过,在这个快节奏的时代,找点时间来品味一下古人的诗词,是不是能让你在忙碌的生活中找到一丝宁静呢?现在,就让我带你走进一个全新的世界——成人背诗词视频教程的世界!一、诗词的魅力,你get了吗?你知道吗,诗词可是我国文化的瑰宝,它不仅蕴含着丰富的情感,还能陶冶人的情操。不信?那就来看看这些数据吧!据《中国诗词大会》官方数据显示,该节目自2016年开播以来,收视率一直居高不下,吸引了无数观众的关注。而在网络上,关于诗词的讨论更是络绎不绝。这不,抖音上关于诗词的视频教程,更是火得一塌糊涂,点赞量动辄百万!二、为什么你需要一个视频教程?或许你会问,我为什...
成人趣味女装长裙视频

成人趣味女装长裙视频

22℃ 0
你有没有发现,最近网上那些成人趣味女装长裙的视频真是火得一塌糊涂啊!各式各样的款式,各种风格的演绎,简直让人眼花缭乱。今天,就让我带你一起深入探索这个神秘的世界,看看这些视频背后隐藏的故事和魅力吧!一、时尚潮流的引领者你知道吗,这些成人趣味女装长裙视频,其实也是时尚潮流的引领者呢!它们紧跟国际流行趋势,将各种新颖的款式和设计带到我们面前。比如,最近流行的宫廷风、复古风、洛丽塔风等等,都能在这些视频中找到踪迹。二、多元化的风格演绎在这些视频中,你可以看到各种风格的演绎。有的优雅大方,有的俏皮可爱,有的性感迷人,有的复古怀旧。这些风格各异的演绎,不仅满足了不...
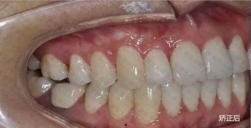
不拔牙矫正成人案例视频,见证牙齿矫正新篇章

不拔牙矫正成人案例视频,见证牙齿矫正新篇章

24℃ 0
你知道吗?现在矫正牙齿已经不再只是青少年的专利了,越来越多的成年人也开始关注牙齿矫正,希望通过这种方式改善自己的笑容和口腔健康。而且,你知道吗?现在还有不拔牙矫正的方法,简直让人眼前一亮!今天,就让我带你一起看看那些不拔牙矫正的成人案例,看看他们是如何笑对生活的吧!一、不拔牙矫正的魅力传统的牙齿矫正方法往往需要拔除几颗牙齿,以便为其他牙齿腾出空间。但是,这种方法对于一些成年人来说,可能会让他们感到有些畏惧。而不拔牙矫正的出现,无疑为这些人带来了福音。不拔牙矫正,顾名思义,就是在矫正过程中不需要拔除任何牙齿。这种方法通常采用隐形矫正器或者陶瓷矫正器,通过逐...
成人舞蹈薛老师视频,优雅舞步,释放自我魅力

成人舞蹈薛老师视频,优雅舞步,释放自我魅力

17℃ 0
你有没有发现,最近网上突然刮起了一股成人舞蹈的热潮?这不,薛老师的舞蹈视频在各大平台上火得一塌糊涂。今天,就让我带你一起来揭秘这位舞蹈界的“女神”——薛老师,看看她的舞蹈视频到底有什么魅力,能吸引这么多人追捧。一、舞蹈界的“女神”薛老师提起薛老师,那可是舞蹈界的一股清流。她不仅拥有高超的舞蹈技巧,还有着独特的教学风格。薛老师毕业于一所著名的舞蹈学院,毕业后便投身于舞蹈教育事业。她的舞蹈视频风格多样,从古典舞到现代舞,从民族舞到街舞,样样精通。二、舞蹈视频的魅力所在那么,薛老师的舞蹈视频究竟有什么魅力呢?首先,她的舞蹈动作优美,每一个动作都充满了力量和美感...